Une nouvelle cible thérapeutique pour lutter contre les addictions ?

L’addiction aux substances d’abus est une maladie psychiatrique caractérisée par des comportements compulsifs de recherche et de consommation de drogues en dépit des conséquences néfastes pour l’individu ainsi qu’un taux élevé de rechute après l’abstinence. Une caractéristique commune à toutes les substances addictives est d’augmenter la concentration d’un neuromodulateur, la dopamine, au sein de régions cérébrales qui forment le circuit neuronal de la récompense. L’augmentation des taux de dopamine au sein de ce circuit neuronal altère durablement la transmission synaptique excitatrice, qui dépend du neurotransmetteur glutamate, et engendre la mise en place de comportements addictifs. A l’heure actuelle, il n’existe aucun traitement pharmacologique efficace pour lutter contre les addictions. L’identification des bases moléculaires responsables de ce « dialogue » néfaste entre la dopamine et le glutamate apparait donc comme un défi majeur qui peut contribuer au développement de stratégies thérapeutiques innovantes.

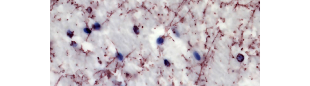
De multiple évidences indiquent que l’hétéromérisation, c’est à dire l’interaction physique directe, entre les récepteurs de la dopamine et ceux du glutamate est un mécanisme puissant par lequel des récepteurs partenaires modulent leurs fonctions de façon réciproque. Ces hétéromères sont des cibles moléculaires à part entière car ils possèdent des caractéristiques propres qui sont différentes de celles des récepteurs qui les composent. A ce titre, le ciblage de ces complexes de récepteurs présente un intérêt thérapeutique potentiel mais leur rôle dans la mise en place des comportements addictifs restait à démontrer. Les chercheurs impliqués dans ce travail collaboratif ont développé des techniques permettant de détecter in situ la proximité entre les récepteurs de la dopamine de type 1 (D1R) et 2 (D2R) avec les récepteurs du glutamate de type NMDA (NMDAR) dans le cerveau de souris exposées de manière répétées à la cocaïne. En se focalisant sur une structure cérébrale clé du circuit de la récompense, le noyau accumbens, les chercheurs ont montré que l’exposition à la cocaïne provoque une augmentation transitoire de l’hétéromérisation D1R-NMDAR dans cette structure cérébrale alors que celle des complexes D2R-NMDAR perdure dans le temps. Pour définir le rôle de chaque type d’hétéromère sur les différentes phases des réponses cellulaires, moléculaires et comportementales induites par la cocaïne les chercheurs ont mis au point une approche virale afin de bloquer l’un ou l’autre de ces hétéromères de récepteurs de manière contrôlée dans le temps, tout en préservant les fonctions des récepteurs partenaires indépendamment de leur interaction. Cette approche a permis d’établir que l’hétéromérisation D1R-NMDAR induite par la cocaïne dans le noyau accumbens contrôle le développement des altérations comportementales persistantes induites par cette drogue chez le rongeur. A l’inverse, l’hétéromérisation D2R-NMDAR joue un rôle clé dans le maintien au cours du temps de ces altérations comportementales. De plus, l’inhibition de l’un ou l’autre de ces complexes n’altère pas le traitement de récompenses naturelles telle que la nourriture. D’un point de vue translationnel, l’implication des interaction D2R-NMDAR dans le maintien des réponses à la cocaïne et leur absence d’impact sur le traitement des récompenses naturelle en font des cibles thérapeutiques potentielles pour lutter contre les addictions. Dans ce contexte, les chercheurs ont également démontré que ces complexes de récepteurs étaient détectables dans des tissus post-mortem humains, et que les individus avec un historique de dépendance aux psychostimulants présentaient une hétéromérisation D2R-NMDAR significativement accrue par rapport à des sujets sains.

Ces découvertes constituent une avancée significative dans la compréhension des bases moléculaires des adaptations induites par les substances addictives. Elles soulignent également l’intérêt potentiel de cibler l’hétéromérisation D2R-NMDAR, non seulement dans le domaine de la dépendance, mais potentiellement pour de nombreux troubles neuropsychiatriques associés à un déséquilibre des transmissions dépendantes de la dopamine et du glutamate, telles que la dépression et la schizophrénie.

Pour en savoir plus

Disrupting D1-NMDA or D2-NMDA receptor heteromerization prevents cocaine’s rewarding effects but preserves natural reward processing. Andry Andrianarivelo, Estefani Saint-Jour, Paula Pousinha, Sebastian P. Fernandez, Anna Petitbon, Veronique De Smedt-Peyrusse, Nicolas Heck, Vanesa Ortiz, Marie-Charlotte Allichon, Vincent Kappès, Sandrine Betuing, Roman Walle, Ying Zhu, Charlène Joséphine, Alexis-Pierre Bemelmans, Gustavo Turecki, Naguib Mechawar, Jonathan A Javitch, Jocelyne Caboche, Pierre Trifilieff, Jacques Barik, Peter Vanhoutte. Science Advances 2021 Oct 22;7(43):eabg5970. doi: 10.1126/sciadv.abg5970.

Contact chercheur

Peter Vanhoutte DR2-CNRS

Courriel

Sorbonne Université, Laboratoire Neuroscience Paris-Seine, CNRS/UMR8246; INSERM/UMRS-1130; Paris